Apakah Gusi Berdarah Anda Tanda Penyakit Serius

Sering mengalami gusi berdarah? Selama ini mungkin Anda hanya menganggapnya hal kecil. Seringnya, Anda berpikir gusi berdarah terjadi karena Anda menyikat gigi terlalu kuat. Tapi, hati-hati, gusi berdarah juga bisa menjadi tanda dari berbagai penyakit. Bisa jadi, gusi berdarah merupakan tanda dari penyakit serius, seperti HV, leukimia, atau diabetes.
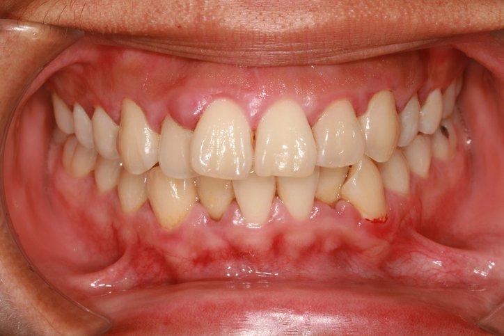
Gusi berdarah bisa merupakan tanda dari berbagai penyakit
Seringnya, gusi berdarah merupakan tanda dari penyakit gusi. Biasanya hal ini terjadi karena terlalu banyak plak yang terdapat pada gigi Anda. Namun, ternyata gusi berdarah bisa menjadi tanda dari penyakit lainnya, seperti:
1. Gingivitis
Gingivitis atau peradangan pada gusi adalah salah satu penyakit pada mulut yang membuat gusi Anda lebih sensitif dan rentan mengalami perdarahan. Gingivitis dapat berkembang dari plak yang menempel terlalu lama pada garis gusi. Selain gusi berdarah, gingivitis juga ditandai dengan pembengkakan pada gusi dan nyeri di sekitar gusi.
2. Periodontitis
Periodontitis bisa terjadi saat gingivitis dibiarkan dan sudah semakin parah atau dengan kata lain periodontitis merupakan penyakit lanjutan dari gingivitis. Penyakit periodontal ini menyebabkan infeksi pada gusi, tulang rahang, dan jaringan penghubung antara gigi dan gusi. Periodontitis dapat menyebabkan gigi Anda merenggang atau tanggal.
3. Kekurangan vitamin
Gigi berdarah juga bisa menjadi tanda Anda sedang mengalami kekurangan vitamin, khususnya vitamin C dan vitamin K. Kedua vitamin ini diperlukan dalam pembekuan darah. Kekurangan kedua vitamin tersebut tidak akan terjadi jika asupan makanan Anda yang mengandung vitamin C dan vitamin K tercukupi. Beberapa sumber makanan yang mengandung vitamin C adalah jeruk, tomat, kiwi, brokoli, dan kentang. Sedangkan, makanan yang mengandung vitamin K adalah bayam, daun kale, selada, kacang kedelai, dan minyak zaitun.
4. Leukimia
Salah satu tanda dari penyakit leukimia (kanker darah) adalah gusi berdarah. Hal ini bisa terjadi karena pasien leukimia mengalami kekurangan sel darah normal. Pada leukimia, sel darah yang abnormal diproduksi oleh sumsum tulang belakang. Sel-sel darah yang abnormal ini kemudian dapat menggantikan sel-sel darah normal. Akibatnya, tubuh kesulitan untuk melawan infeksi, mengontrol perdarahan, dan mengalirkan oksigen.
5. Hemofilia
Penyakit yang berhubungan dengan darah lainnya yang juga mempunyai tanda gusi berdarah adalah hemofilia. Hemofilia adalah penyakit gangguan perdarahan yang dapat diturunkan. Penyakit ini menyebabkan perdarahan abnormal atau berlebihan dan pembekuan darah yang buruk. Gusi berdarah atau gejala perdarahan lainnya bisa muncul pada hemofilia karena terjadi gangguan pembekuan darah.
6. Trombositopenia
Salah satu tanda dari tombositopenia adalah gusi berdarah. Trombositopenia atau jumlah trombosit darah yang rendah dapat mengakibatkan tubuh Anda tidak dapat membekukan darah dengan sempurna jika Anda mengalami luka. Trombositopenia dapat membuat Anda mengalami perdarahan yang parah.
7. Diabetes
Diabetes mempunyai efek timbal balik pada penyakit gusi atau perdarahan pada gusi. Diabetes bisa menjadi penyebab penyakit gusi atau diabetes juga bisa diperburuk oleh penyakit gusi. Diabetes dapat melemahkan kekuatan mikroba dalam mulut dalam melawan bakteri, sehingga bakteri dalam mulut dapat dengan mudah membentuk plak gigi. Selain itu, kadar gula darah yang tinggi pada penderita diabetes dapat membuat penyakit gusi lebih buruk. Di sisi lain, penyakit gusi juga dapat membuat diabetes lebih sulit dikontrol.
Jika gusi Anda berdarah dan perdarahannya tidak normal, gusi memerah dan bengkak, bau mulut, gigi merenggang, atau gusi yang menjauh dari gigi sehingga gigi terlihat lebih panjang, sebaiknya segera periksa ke dokter gigi Anda.
8. HIV (Human Immunodeficiency Virus)
HIV merupakan penyakit yang melemahkan sistem kekebalan tubuh seseorang. Salah satu bagian tubuh yang terkena dampak dari HIV adalah mulut. Orang dengan HIV biasanya memiliki masalah pada mulutnya, salah satunya adalah gusi berdarah. Gusi berdarah bisa terjadi karena mereka mempunyai sistem kekebalan tubuh yang lemah. Selain itu, orang dengan HIV biasanya juga tidak merawat giginya dengan baik.
Apa yang bisa saya lakukan jika gusi berdarah?
Menjaga kesehatan mulut Anda adalah hal pertama yang bisa Anda lakukan untuk mengobati gusi berdarah. Menyikat gigi dengan benar dan teratur setiap harinya merupakan kunci untuk tetap menjaga kesehatan mulut Anda. Sikat gigi Anda dua kali sehari, yaitu setelah sarapan dan sebelum tidur. Jangan lupa untuk menggunakan sikat gigi yang lembut untuk menyikat gigi Anda dan sikat gigi Anda secara perlahan.
Selain itu, kunjungi dokter gigi Anda setiap enam bulan sekali. Dokter akan memeriksa dan membersihkan gigi Anda. Pemeriksaan gigi secara rutin dapat mencegah Anda terkena penyakit gigi dan gusi. Dokter mungkin akan menyarankan Anda untuk memakai obat kumur antiseptik untuk mengurangi jumlah plak yang terbentuk di gigi Anda. Tetapi, jangan menggunakan obat kumur yang mengandung alkohol, ini akan membuat masalah gusi Anda lebih buruk.
Jika gusi Anda bengkak dan mulai berdarah, Anda dapat berkumur dengan air hangat yang dicampur garam. Ini akan membantu menyembuhkannya. Anda juga bisa menekan langsung gusi Anda yang berdarah dengan kain kasa yang dibasai air es, ini dapat mengurangi perdarahan pada gusi Anda.
BACA JUGA
- 9 Kesalahan Menyikat Gigi yang Paling Sering Anda Lakukan
- Menguak Manfaat Air Garam untuk Kesehatan Mulut
- Langkah-langkah Menyikat Gigi dengan Benar
0 Response to "Apakah Gusi Berdarah Anda Tanda Penyakit Serius"
Post a Comment